
O que é o implante dentário
Implante dentário é uma peça de titânio (como a raiz de um dente) que é cirurgicamente inserida no osso e permite que seu dentista coloque um dente substituto ou uma coroa por cima. Implantes dentários apresentam um grande benefício: como não necessitam ser ancorados em outros dentes, não é necessário desgastá-los, como é o caso das pontes.
...Por que devo clarear meus dentes?
Com certeza você sempre quis ter um lindo sorriso branco, pois seus dentes podem ter amarelado com o passar do tempo. Ou talvez você não esteja feliz com as manchas provenientes do café, chá ou refrigerantes. Qualquer que seja sua razão de querer dentes mais brancos, você não está sozinho.
Antes de mais nada, você sabe o que é uma escova interdental e para que ela serve?
Como o nome diz, a escova interdental serve para fazer a limpeza entre os dentes. Em outras palavras, é a escova que limpa locais onde a escova comum não chega.
A escova interdental tem as cerdas em formato cilíndrico ou cônico e é apoiada sob uma canaleta central ...
Sabia que seus dentes ou a falta deles, influenciam diretamente na sua digestão?
Nosso processo digestivo inicia a partir do momento em que colocamos um alimento em nossa boca. A mastigação é o primeiro passo desse processo e, se feita de modo errado, pode caus...
Faz tempo que você não vai ao dentista? Saiba que o câncer de boca pode se desenvolver em menos de 6 meses. O câncer de boca é considerado um problema de saúde publica. Em 2016, estimativas do Instituto Nacional de Câncer (Inca), indicam que haverá 11.280 novos casos em homens e 4.010 em mulheres. Essa terrível doença atinge cada vez mais jovens adultos de até 40 anos que apresentam tumor...
Escovar os dentes após cada refeição deve ser um hábito no nosso dia a dia se quisermos cultivar uma boa higiene bucal. Mas você sabia que alguns alimentos podem ajudar a manter uma boca mais saudável e ainda auxiliar na limpeza dos dentes? São os alimentos chamados de detergentes, pois eles limpam a superfície dos dentes durante a mastigação. Além disso, combatem cáries e removem a plac...
Homens e mulheres muitas vezes estão insatisfeitos com a aparência de suas faces. A maioria se queixa de suas bochechas com aparência gordinha. A causa é uma porção de gordura, conhecida também como bola de Bichat que são almofadas de gordura que aumentam a parte inferior das bochechas. Estas "bochechas" podem resultar de uma variedade de condições: O excesso de peso e a predisposição genétic...
Todos sabem que nos dias de hoje a arte do corpo vem se popularizando entre os adolescentes e jovens adultos, mostrando que o uso do piercing é uma forma de expressar sua personalidade. Dentre as várias localizações na cavidade bucal, destaca-se o uso do piercing: nos freios lingual e labial, nos lábios e língua, sendo esta últi...
Os implantes dentários são ótimas opções para quem perdeu um ou mais dentes e quer recuperar a saúde bucal sem os contratempos de pontes ou dentaduras.
Mas, afinal, o que são os implantes dentários e por que vale a pena realizar seu tratamento com eles?
Pinos de Titânio
O implante dentário nada ...
Antes de falarmos sobre os tipos de restaurações (obturações) que existem, vamos entender o que são e quando o uso é recomendado.
Como o próprio nome diz, restauração é para recuperar danos nos dentes, fazendo com que ele volte a ter sua função e forma originais. Esses danos podem ser originados por cáries, quebras ou mesmo desgastes mais agressivos.
A funçã...
Quando a escovação e o fio dental não são mais o suficiente e seus dentes apresentam um aspecto amarelado, você pode optar pela técnica do clareamento dental.
Desde que você tenha entendido a importância de uma boa higiene bucal, em todas as suas etapas, a relação com a sua saúde bucal melhorou. Porém, seus dentes ainda não estão tão brancos como você gostaria. E agora? Uma soluçã...
Durante muito tempo o ronco foi considerado apenas um inconveniente, mas hoje, para alívio dos parceiros de cama ou de quarto dos roncadores, já encarado como um problema de saúde. Roncar é um alerta de que algo está errado no organismo.
Roncar não é um comportamento normal e merece ser investigado
Ter um sorriso branco se transformou em uma demanda estética e uma necessidade psicológica para muitas pessoas. Mas nem todo o mundo consegue ter os dentes totalmente brancos de forma natural. Muitos culpam o cigarro e o café pelo tom amarelado, mas nem sempre é o caso. Veja quais as causas do problema e as possíveis soluções:
1. Causas genétic...
Quem pensa que colocar implantes é um bicho de sete cabeças não conhece as novas técnicas disponíveis na odontologia onde é possível definir previamente a correta posição do implante dentro do osso. A excelente notícia é que com essa alta tecnologia não é preciso cortar a gengiva para colocar os implantes.
O tratamento e a recuperação é ...
Pernambucana desenvolve chip que detecta 18 tipos de câncer em estágio inicial
Exame dura 15 minutos, não libera radiação e permite o diagnóstico precoce da doença.
A biomédica e professora universitária Deborah Zanforlin, natural de Caruaru, no Agreste de Pernambuco é a responsável por desenvolver um dispositivo que promete avanços significativos no dia...
Estudo diz que, apesar de a crença ser comum, irrupção dos dentes não está relacionada à febre em bebês
“Meu filho não para de chorar e está com febre. Ah, deve ser algum dente nascendo.” Se você nunca disse isso, provavelmente já ouviu frases parecidas de alguma outra mãe. Essa ideia, no entanto, pode não ser verdadeira e ainda mascarar outras infecções que precisam ser i...
Como devo cuidar do meu aparelho móvel?
A maioria dos aparelhos móveis são removíveis, o que significa que você os remove para comer, escovar e usar fio dental. Por esse motivo, são facilmente perdidos. Muitas pessoas embrulham os aparelhos móveis em um guardanapo ao comer e os esquecem em seguida, tendo que gastar centenas de r...
O mais importante é sentir-se bem!!!
Ter os dentes saudáveis e alinhados não é apenas uma questão de estética, mas também de saúde. O clareamento dental e o aparelho ortodôntico, além dos ganhos estéticos trazem diversos outros benefícios a sua saúde como um todo.
Clareamento de Consultóri...
Afinal o que causa o mau hálito?
Já aconteceu com todos nós, vez ou outra. Existe algo que possamos fazer para manter o mau hálito longe?
Conhecer as causas pode ajudar a reduzir o risco
A halitose, ou mau hálito, é deflagrada por vários fatores e, geralmente, ...
Entenda a importância da manutenção dos resultados alcançados
A remoção do aparelho fixo
Seu ortodontista verifica e acompanha a posição dos seus dentes a cada consulta e decidirá quando seu tra...
Colocar piercing na língua é bastante comum como forma de auto expressão. Porém são relatadas complicações importantes advindas desse procedimento, tais como, endocardites, tétano e até abscesso cerebral. Há um caso descrito num artigo científico (http://ja.ma/1IX6XM1) de uma paciente que d...
Em um mundo competitivo e cheio de dificuldades como o de hoje, qualquer diferença pode trazer vantagem. Tanto na vida pessoal quanto na profissional, a primeira impressão é essencial. Todos nós sabemos que o sorriso é nosso principal cartão de visitas e ter dentes bonitos e alinhados deixa você em posição de destaque nas suas relações.
Contudo, sabemos q...
10 hábitos aparentemente inofensivos que prejudicam sua saúde bucal
Quem nunca abriu uma garrafa ou rasgou embalagem plástica com os dentes? Ou então roeu as unhas quando ansioso ou ficou mastigando a tampa da caneta ou a ponta ...
Café da manhã - Perigo
Alguns tipos de granolas são feitas a partir de grãos que contêm aditivos e muitas vezes mais do que três colheres de sopa de açúcar por porção, o que as torna muito perigosas para a saúde. Os fabricantes sempre dizem que são opções saudáveis para uma refeição rápida, mas a verdade é que elas ...
Se você está grávida e tem problemas nas gengivas, há uma grande probabilidade de ter um bebê prematuro e muito pequeno. Exatamente. As duas condições estão muito ligadas, no entanto é uma ocorrência que permanece pouco compreendida pela ciência. As Inflamações decorrentes do problema gengival ou infecções pelo corpo em decorrência disso podem ser os culpados. A gravidez e suas alteraçõe...
Quanto tempo eu terei que usar aparelho?
O tempo necessário para o tratamento ortodôntico varia de pessoa para pessoa, dependendo da gravidade do problema; do espaço disponível; das distâncias que os dentes deverão se deslocar; da saúde dos dentes, gengivas, os ossos de sustentação e principalmente como o paciente segue as instruções ou se fa...
Por que escovar os dentes! Vamos entender os motivos?
A escovação dental deve ser realizada após cada refeição e no mínimo três vezes ao dia. Mas....e no café da manhã? Escovo os dentes antes ou depois? Dúvida cruel? Vamos esclarecer isso de uma vez por todas.
Sabe aquele bafo ao acordar? É o cheiro da placa bacteriana! As bactérias, naturais da flora bucal, se proliferam a t...
Bandas ou Anéis Ortodônticos:
São hastes metálicas, fabricadas com aço inoxidável, altamente, resistente à
deformação. São adaptadas, principalmente, em torno dos primeiros e segundos
molares, tanto superiores como inferiores.
Tubos:
São acessório...
01 - A escova convencional é melhor que a escova elétrica! MITO!
As duas escovas trabalham a higiene bucal de forma semelhante, sendo assim, nenhuma delas “limpa” mais do que a outra. A diferença básica está na relação preço/durabilidade/praticidade.
02 – Quanto maior e colorida for nossa escova denta...
O consumo frequente de sucos, naturais e industrializados, refrigerantes e outras bebidas ácidas pode causar outro problema tão devastador quanto a cárie: a erosão ácida. Pesquisa recente da Universidade de Rochester, nos Estados Unidos, mostrou que o suco de laranja diminui a dureza do esmalte dentário em 84% - mais do que produtos usados para clareamento. Outra pesquisa, da Faculdade d...
Qualquer pessoa pode ter seus dentes clareados, desde que eles estejam íntegros, sem muitas restaurações.
Técnicas de clareamento:
• Técnicas caseiras com substâncias químicas.
• Técnicas utilizadas no consultório com o auxílio de luz para aquecimento ou laser.
Todas são capazes de realizar o clareamento. O que as dife...
A Den&Tal Clínica Odontológica oferece o que existe de mais moderno em equipamentos e tecnologia para proporcionar aos clientes o melhor tratamento, com o máximo de conforto e resultados.
Para isso, utiliza principalmente durante os diagnósticos...
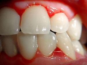
“Se lavarmos a cabeça e sair sangue, naturalmente ficaremos muito preocupados. Se lavarmos as mãos e também sangrar, ficaremos preocupados. Então, por que o sangramento gengival haveria de ser diferente?”
O questionamento do PhD em periodontia e pesquisador-sênior da Universia...
Estética
Bucal
O ser humano gosta de sorrir e essa ação libertadora também impacta nossa autoestima,
nossa vida social, profissional e portanto nossos relacionamentos. Diversos
estudos comprovam que pessoas sorridentes são mais felizes e a Odontologia
trabalha e vem desenvolvendo tecnologias para ajudar mais e mais pessoas a
terem uma vida melhor, através do ...
Cáries na infância
Também conhecida como cárie de mamadeira, a cárie em bebês const...
Você sabia que as
escovas dentais que ficam expostas no banheiro podem ser contaminadas pelas
bactérias deste ambiente?
Essas
bactérias se depositam nas cerdas das escovas, podendo causar infecções.
Portanto, depois de lavar e secar sua escova dental, guarde-a na gaveta, no
armário ou na capa protetora.
Você deve
trocar sua escova dental a cada ...