
“Se lavarmos a cabeça e sair sangue, naturalmente ficaremos muito preocupados. Se lavarmos as mãos e também sangrar, ficaremos preocupados. Então, por que o sangramento gengival haveria de ser diferente?”
O questionamento do PhD em periodontia e pesquisador-sênior da Universia de Gotemburgo (Suécia) Maurício Araújo.
Não é novidade que o corpo humano é a mais perfeita máquina que existe, trabalhando de modo totalmente interligado. Mas, os sinais que ele nos transmite nem sempre são fáceis de identificar, uma vez que podem estar associados a diversas questões.
Um exemplo disso é quando estamos no meio da escovação dental diária quando verificamos que há sangue na espuma que descartamos.
Seria esta uma “mensagem” do nosso organismo?
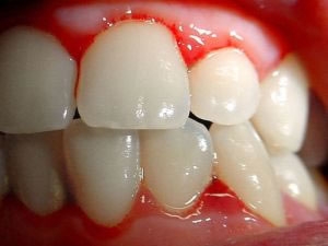
O sangramento gengival é um problema que algumas pessoas convivem por anos sem se incomodar ou sem considerar que isto possa ser o indício de algo mais sério, embora, na verdade, ele seja um grande sinal de alerta de que alguma coisa não está funcionando perfeitamente bem.
A gengiva é responsável por proteger os dentes e a estrutura óssea contra as bactérias, corpos estranhos e até mesmo de alimentos que possam danificá-los de alguma maneira. A sua aparência normal deve ser rosada, justa aos dentes e normalmente deve ser capaz de aguentar traumas como a mastigação e a escovação correta sem qualquer sinal de sangue.
Na maioria dos casos, quando esses ferimentos espontâneos surgem com o mais leve contato, isto costuma acontecer em decorrência de hábitos de higiene incorretos.
Isto porque, com a limpeza inadequada da boca, a placa bacteriana se acumula e se calcifica, causando o tártaro, uma crosta tão dura que apenas um cirurgião-dentista consegue removê-la.
Nos casos em que essa remoção não é realizada, as bactérias começam a liberar toxinas que inflamam a gengiva causando sangramento e inchaço,
Como os sintomas são pequenos e considerados sem importância, é comum que as pessoas levem muito tempo até procurar uma orientação profissional.
Porem existem casos nos quais essa intervenção pode chegar tarde demais.
Enquanto os elementos bacterianos se encontram apenas na gengiva, o tratamento é relativamente simples, sem que exista um comprometimento da saúde dental, ao passo que, na periodontite– que é um estágio avançado do estrago da gengivite - o problema já chegou ao osso e aos ligamentos, com a alteração das estruturas que sustentam os dentes (estas ficam moles).